Smile Gallery
Below are some examples of some of our best work!
Before
After
Terry's Summer Smile
Terry wanted a brand new smile to start the summer and we gave her one that she was ecstatic about!
Before
After
Before
After
Before
After
Before
After
A brighter, healthier smile!
Arjanite was looking to improve the health of her teeth and her smile at the same time. With a few zirconia crowns, we helped to protect her teeth and give her a smile she feels confident to show off!
Before
After
Dawn's New Smile
Dawn was growing more disappointed with her front teeth over the years and wanted to have a better smile. A few crowns did the trick and now Dawn is always smiling!
Before
After
Mini-Makeover with crowns and bonding
Eileen didn't want a drastic change, but she wanted to smile more confidently. With just 2 simple zirconia crowns and some bonding, Eileen was smiling again!
Before
After
Before
After
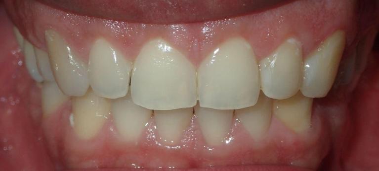
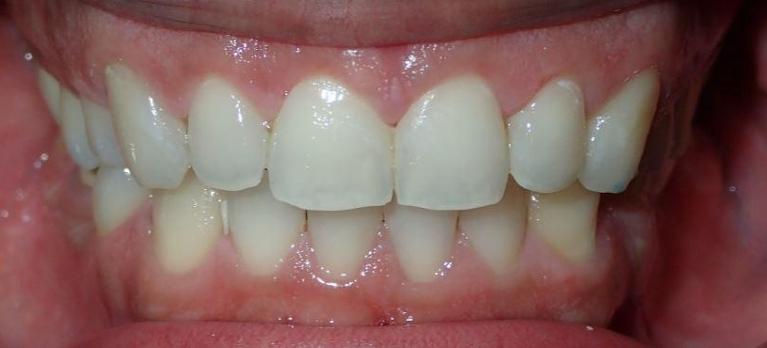
Gap closure
Sean had braces when he was younger, but the gap between his teeth opened up. Sean wanted a temporary solution to close the gap until he's ready to go back into braces or get veneers. With some simple composite bonding, we were able to help Sean obtain the results he was looking for!
Before
After
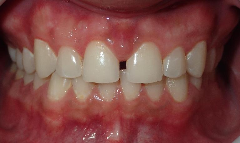
Before
After
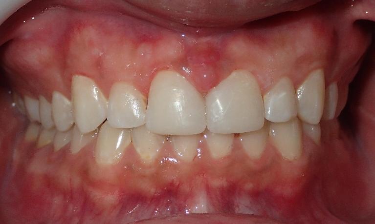
Before
After
Improve your smile today – call to schedule a consultation!
Claim Now!
Smile Gallery Categories