Eileen didn't want a drastic change, but she wanted to smile more confidently. With just 2 simple zirconia crowns and some bonding, Eileen was smiling again!
Dawn was growing more disappointed with her front teeth over the years and wanted to have a better smile. A few crowns did the trick and now Dawn is always smiling!
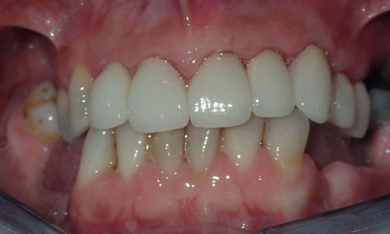
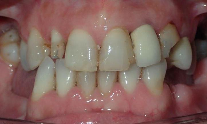
Arjanite was looking to improve the health of her teeth and her smile at the same time. With a few zirconia crowns, we helped to protect her teeth and give her a smile she feels confident to show off!